El rincón del residente
Para poder examinarse debe descargar todos los ficheros adjuntos de este artículo
CF
2026, vol. 19, nº 1

Si abre más una de pestaña simultáneamente con distintos artículos de FAPap, el contador de tiempos no funcionará correctamente y no se podrá examinar.

El tiempo mínimo de permanencia en este artículo es de 10 min.

Usted lleva min.

Tortícolis adquirida como único síntoma de presentación de tumor de fosa posterior • Acquired torticollis as the sole presenting symptom of a posterior fossa tumor

Autores: Ramírez Martín L1, Lendínez Jurado U2, de Santiago García-Caro E3, Martínez Fabón C4, Ledesma Albarrán JM5
1 MIR-Pediatría. Hospital Regional Universitario de Málaga. Málaga. (España).
2 Pediatra. CS Puerta Blanca. Málaga. (España).
3 Pediatra. CS Puerta Blanca. Málaga. Miembro del Grupo de Docencia de la AEPap. (España).
4 MIR-Pediatría. Hospital Regional Universitario de Málaga. Málaga. (España).
5 Pediatra. CS Puerta Blanca. Málaga. Miembro del Grupo de Docencia de la AEPap. (España).

RESUMEN: PUNTOS CLAVE PARA EL PEDIATRA DE ATENCIÓN PRIMARIA

  • La tortícolis muscular adquirida es una condición benigna que suele mejorar en un plazo de 48-72 horas. Si el cuadro persiste más allá de este tiempo, conviene ampliar el diagnóstico diferencial hacia otras causas.
  • La presencia de anomalías en la exploración neurológica u oftalmológica, síntomas de hipertensión intracraneal (vómitos, cefalea), fiebre o una duración superior a los 7-10 días obliga a realizar estudios de imagen (resonancia magnética).
  • Hallazgos en la exploración neurológica, oftalmológica, síntomas respiratorios, disfagia, fiebre, limitación funcional significativa o una duración de los síntomas superior a 7-10 días hace necesario plantear la realización de estudios complementarios.

Palabras clave

Tortícolis astrocitoma pilocítico niño.

   SUMMARY: KEY POINTS FOR PRIMARY CARE PEDIATRICIANS

  • Acquired muscular torticollis is a benign condition that usually improves within 48-72 hours. If the condition persists beyond this timeframe, it is advisable to expand the differential diagnosis to other causes.
  • The presence of abnormalities in neurological or ophthalmological examinations, symptoms of intracranial hypertension (vomiting, headache), fever, or a duration exceeding 7-10 days requires imaging studies (MRI).
  • Findings in neurological or ophthalmological examinations, respiratory symptoms, dysphagia, fever, significant functional limitation, or a duration of symptoms exceeding 7-10 days necessitates considering complementary studies.

   Keywords

    Torticollis pilocytic astrocytoma child.

CASO CLÍNICO

Se expone el caso de un paciente varón de 19 meses que consulta en su pediatra de Atención Primaria por una tortícolis atraumática de nueve meses de evolución, en seguimiento por un pediatra de consulta privada, y que no mejora de forma completa a pesar de recibir sesiones de fisioterapia en el domicilio (Figura 1). Había sido valorado por un oftalmólogo, también de consulta privada, con hallazgos normales en la exploración ocular. Presenta, además, caídas ocasionales, sin otra clínica asociada. El embarazo, parto y los antecedentes perinatales, así como el desarrollo psicomotor eran normales. No presenta antecedentes familiares de interés.

Figura 1. Paciente al inicio del estudio, con tortícolis lateral izquierda. Mostrar/ocultar

En la exploración física se evidencia desviación lateral de la cabeza hacia la izquierda, con contractura del músculo esternocleidomastoideo ipsilateral sin asimetría craneofacial. El examen neurológico y el resto de la exploración física resultan normales. Ante la ausencia de otra sintomatología, se deriva al Servicio de Rehabilitación, que solicita la realización de una resonancia magnética con el objetivo de descartar malformaciones locales.

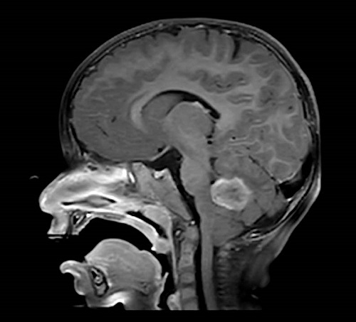
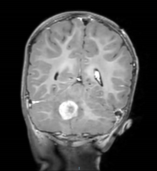
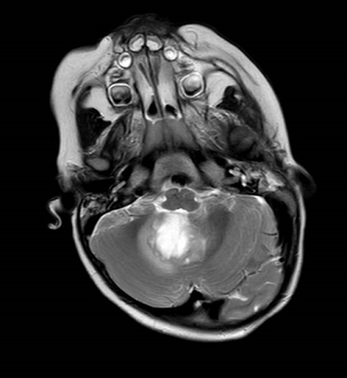
Se realiza una prueba de imagen a los 23 meses de edad, en la que se evidencia una lesión focal intraaxial en la fosa posterior que afecta al cuarto ventrículo, sugestiva de neoformación primaria compatible con ependimoma o glioma de bajo grado (Low Grade Glioma, LGG) (Figura 2, Figura 3 y Figura 4).

Figura 2. Imagen de resonancia magnética en corte axial donde se visualiza la lesión de fosa posterior con afectación del 4.º ventrículo, con intenso realce de contraste de 2,8 x 2,3 x 2,6 cm. Edema periférico moderado. Mostrar/ocultar

Figura 3. Imagen de resonancia magnética en corte transversal donde se visualiza una lesión tumoral infratentorial hemisférica paracentral derecha; comprime la base del 4.º ventrículo sin obstrucción y no produce hidrocefalia obstructiva de 3.º ventrículo ni laterales. Mostrar/ocultar

Figura 4. Imagen de resonancia magnética en corte frontal donde se visualiza el tumor de fosa posterior. Mostrar/ocultar

Se decide biopsiar la lesión y realizar una resección parcial, con resultado anatomopatológico de astrocitoma pilocítico de bajo grado con fusión BRAF positiva. El paciente inicia tratamiento complementario con vinblastina durante 70 semanas; presenta una buena evolución y controles radiológicos trimestrales estables.

En la primera resonancia de control a los cuatro meses de finalizar el tratamiento quimioterapéutico se aprecia progresión tumoral y aumento de talla ventricular sin dilatación, por lo que se propone la reintervención para realizar una nueva resección. Es intervenido nuevamente a los dos años de la primera cirugía; en esta ocasión, se lleva a cabo una exéresis macroscópicamente completa de la lesión, excepto en la zona más infiltrativa del pedúnculo cerebeloso medio derecho, sin incidencias posquirúrgicas más allá de una leve parálisis facial periférica derecha residual.

En la actualidad, el paciente se encuentra estable, recuperándose paulatinamente de las secuelas posquirúrgicas. Continúa con controles periódicos radiológicos sin tratamiento adicional.

DISCUSIÓN

La tortícolis es un signo que se presenta como una inclinación cervical y rotación de la cabeza hacia el lado contralateral, generalmente acompañado de rigidez muscular y dolor. Existen diversas causas, desde patologías leves como la tortícolis congénita o la fibromatosis colli, hasta condiciones de mayor gravedad como las tumorales, las neurológicas (como la miastenia gravis) o las infecciosas (osteomielitis)1,2. (Se recomienda completar la información con la lectura del artículo Tortícolis en Pediatría).

Además, los niños con tortícolis suelen consultar inicialmente en Atención Primaria, motivo por el cual es fundamental una correcta anamnesis y exploración física, con el fin de detectar datos de alarma que precisen la realización de pruebas complementarias3,4.

En la literatura médica se describen casos de tumores de fosa posterior con torticolis como único síntoma acompañante, aunque con el tiempo de evolución tienden a presentarse síntomas de hipertensión intracraneal (cefalea, vómitos...). No obstante, el diagnóstico y el tratamiento del tumor suele demorarse en muchos casos, ya que este no se considera en las primeras etapas del diagnóstico diferencial5,6. A pesar de la alta tasa de supervivencia del astrocitoma pilocítico, el riesgo de secuelas a largo plazo y la presencia de otros tumores con pronósticos más graves hacen necesario incluir los tumores de la fosa posterior en el diagnóstico diferencial cuando se presenta una tortícolis adquirida de larga evolución que no mejora con ejercicios posturales.

Los tumores del sistema nervioso central son la forma más común de tumor sólido en la infancia, siendo el astrocitoma pilocítico la entidad más frecuente. Hasta el 75% de los casos se presentan antes de la segunda década. El astrocitoma pilocítico es un tumor de bajo grado, generalmente benigno, de crecimiento lento y bien delimitado que se presenta la mayoría de las veces a nivel del cerebelo7.

La presentación y los tratamientos de los astrocitomas pilocíticos varían según su ubicación. Generalmente, asocian síntomas secundarios a efecto de masa en la fosa posterior: hidrocefalia obstructiva y cefalea, náuseas, vómitos y papiledema. Si la hidrocefalia se produce antes de la fusión de las suturas craneales, normalmente antes de los 18 meses de edad, es probable que se produzca un aumento de la circunferencia de la cabeza y una separación de las suturas craneales. Por el contrario, si el tumor se halla en vermis, puede provocar una marcha con una base amplia, ataxia troncal y titubeo. Por tanto, es fundamental una correcta exploración física que permita relacionar los déficits neurológicos con la ubicación específica del tumor6,7.

La prueba de imagen de elección para su estudio es la resonancia magnética. Además, este tipo de tumor habitualmente no presenta metástasis en gota, por lo que el estudio de todo el eje neuraxial se recomienda solo en casos sospechosos o inciertos.

El pilar del tratamiento es la escisión quirúrgica con el fin de lograr una resección completa. En líneas generales, no se requiere quimiorradioterapia convencional, salvo en determinadas localizaciones (como el quiasma óptico o el hipotálamo), recurrencias o diseminación. La supervivencia de los pacientes con astrocitoma pilocítico a los diez años es del 94%7.

BIBLIOGRAFÍA

  1. Sánchez Durán MA, Mateos Torre P, Saloni Gómez N, Ahmed Mohamed L, Martínez Merino M, Rupérez García E. Tortícolis en Pediatría: ¿un signo clínico banal? Rev Pediatr Aten Primaria. 2023;(32):e99-e100.
  2. Abad Casas C, Padilla Esteban ML, Marti Ciruelos R. Tortícolis en pediatría. Form Act Pediatr Aten Prim. 2010;3;29-34.
  3. Raucci U, Roversi M, Ferretti A, Faccia V, Garone G, Panetta F, et al. Pediatric torticollis: clinical report and predictors of urgency of 1409 cases. Ital J Pediatr. 2024;50(1):86.
  4. Ben Zvi I, Thompson DNP. Torticollis in childhood-a practical guide for initial assessment. Eur J Pediatr. 2021;181(3):865-73.
  5. Kumandaş S, Per H, Gümüş H, Tucer B, Yikilmaz A, Kontaş O, et al. Torticollis secondary to posterior fossa and cervical spinal cord tumors: report of five cases and literature review. Neurosurg Rev. 2006;29(4):333-8.
  6. Baklizi N, Raswoli M, Burges M, Moreira DC, Qaddoumi I. Torticollis as a presenting symptom of pediatric CNS tumors: A systematic review. Semin Oncol. 2022;49(5):419-25.
  7. Knight J, Karsonovich T, De Jesus O. Pilocytic astrocytoma. En: StatPearls [en línea] [consultado el 17/03/2026]. Disponible en: https://www.researchgate.net/publication/343879472_Pilocytic_Astrocytoma_Juvenile

Cómo citar este artículo

Ramírez Martín L, Lendínez Jurado U, de Santiago García-Caro E, Martínez Fabón C, Ledesma Albarrán JM. Tortícolis adquirida como único síntoma de presentación de tumor de fosa posterior • Acquired torticollis as the sole presenting symptom of a posterior fossa tumor . Form Act Pediatr Aten Prim. 2026;19;44-7